턱끝 재수술 문의드립니다....
- 이도현
- 177 hit
설재윤 원장님 턱끝 재수술 문의드립니다.
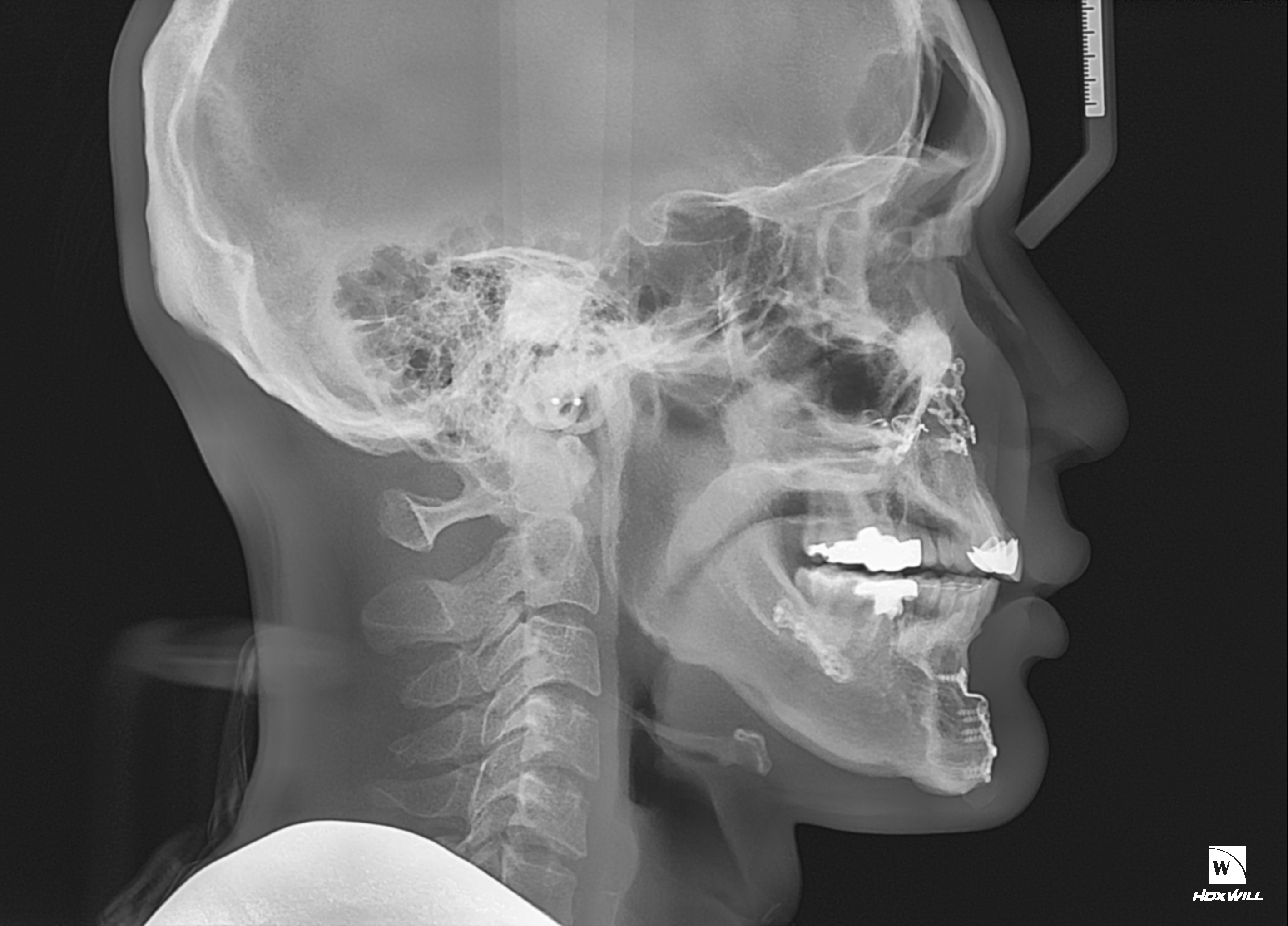
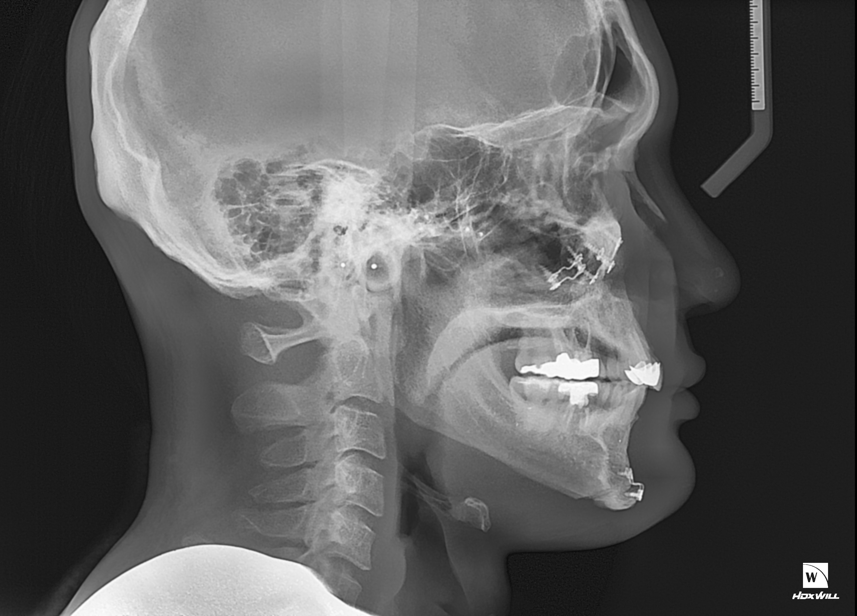
1. 현재 제가 수술 전후 ct를 올리겠습니다
2. 일차 양악 수술후 경미한 주걱턱 때문에 쉐이빙을 했는데 효과는 미미했습니다 진짜 쉐이빙은 효과가 미흡
3. 그 후 어드벤스를 3mm정도 했습니다
4. 현재 주걱턱 처럼 보여서 돌아버리겠습니다..
5. 음 어느 선생님 말을 빌리면 턱끝 절골라인이 너무 아래서 절골되어서 그런거다 신경선으로 부터 5~10mm정도 아래서 절골후 약간 사선으로 2mm 정도만 전진시키면 두꺼운 근육이 얇아지면서 좀 편해진다 이게 맞는말인가요???
6. 아니면 지금 상태에서 다시 절골한곳 다시 절골해서 뒤로 후퇴시켜야되나요?
7. 지금 현재 턱끝 포지션은 좋은가요?
8. 아래 제가 도완 한 대로 수술하면 어떨까요? 길이도 줄이면서 후퇴도 시키고
자세한 답변 부탁드립니다.








이전페이지 | 1 | 2 | 3 | 4 | 5 | 6 | 7 | 8 | 9 | 10 | 다음페이지 |
상호명 : 설재윤성형외과 / 사업자등록번호 : 594-10-00386 / 대표자 : 설재윤
TEL 02-515-0369 / FAX 02-515-0368 / E-MAIL seoljyps@naver.com
주소 [06030] 서울특별시 강남구 논현로 159길 10 신사빌딩 4층
Copyright © SEOLJAEYOON PLASTIC SURGERY. All Rights Reserved.
TEL 02-515-0369 / FAX 02-515-0368 / E-MAIL seoljyps@naver.com
주소 [06030] 서울특별시 강남구 논현로 159길 10 신사빌딩 4층
Copyright © SEOLJAEYOON PLASTIC SURGERY. All Rights Reserved.
상호명 : 설재윤성형외과 / 대표자 : 설재윤
주소 [06030] 서울특별시 강남구 논현로 159길 10 신사빌딩 4층
TEL 02-515-0369
FAX 02-515-0368
E-MAIL seoljyps@naver.com
Copyright © SEOLJAEYOON PLASTIC SURGERY. All Rights Reserved.
주소 [06030] 서울특별시 강남구 논현로 159길 10 신사빌딩 4층
TEL 02-515-0369
FAX 02-515-0368
E-MAIL seoljyps@naver.com
Copyright © SEOLJAEYOON PLASTIC SURGERY. All Rights Reserved.








.jpg)

댓글 (1)
설재윤입니다
1. 양악수술을 받았는데,경미한정도라도 왜? 주걱턱이 남아 있죠?
2.주걱턱에 쉐이빙은 당연히 효과가 없습니다.
3.주걱턱인데 advanced genioplasty를  왜?했을까요?
4.주걱턱인데 앞으로 뺀 이유가? 다시 원위치 하는것이 낫겠죠?
5.절골선 라인의 높낮이와는 관련이 없습니다.
주걱턱의 후방으로 이동이 덜 되서 나타난 현상에다가 앞턱끝을 왜? 앞으로 이동시켰는지 모르겠지만, 아뭇튼 주걱턱에서 더 심해 보일수 있는 앞턱 위치를 다시
복원하는것이 더 나을것 같은데요.
6.저도 동의하는 이야기 인것 같습니다.
7.턱끝 포지션이 앞으로 나왔으니주걱턱때문에 돌아버리겠다라고 하는것 아닌가요?
8. 제안하신 수술법에는 반대합니다.
신경선이 높다고 턱선끝을 많이 자르면 치아나 혹은 임플란트 유지에 50대이후부터는 문제 될수 있습니다.
사례
 제목-진단,효과,부작용,치아영향
https://kin.naver.com/qna/detail.nhn?d1id=7&dirId=70110&docId=331943945 
긴곡선사각턱 수술,피질절골이 치아에 미치는 영향
https://cafe.naver.com/juliett00/447843
 
 
 
설재윤성형외과 www.seoljaeyoon.co.kr
상담 및 예약문의 : 02-515-0369 / 02-3442-7788
감사합니다