원장님 턱끝전진술 후 재수술 고민 중 질문드립니다.
- 하진우
- 203 hit
조금 더 알아보고, 원장님 병원에서 했으면 이럴 일이 없었을 것 같은데..하는 후회를 안고 질문드립니다.
재수술을 하게 되면 설원장님께 받고싶습니다..ㅠ 부디..젊은 학생하나 가엽게 여기시고 양심적인 답변부탁드립니다...(이래라저래라가 아니라.. 너무 의사분들께서 본인은 모든게 가능하단 식으로 말씀하셔서..
코도 턱도 실패본 것 같아 마음이 아려서요..)


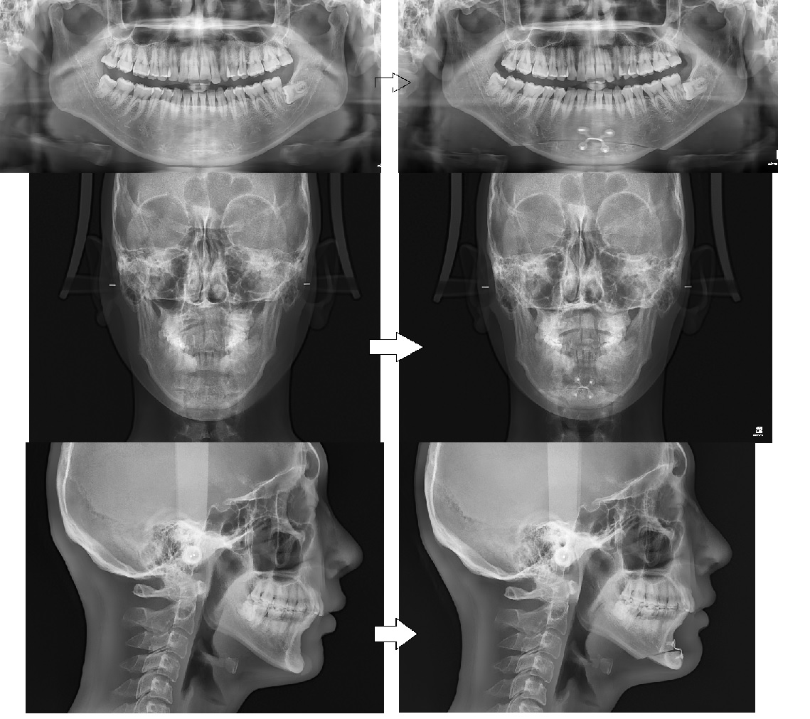
[X-ray 사진]
좌측사진이 무턱보형물을 넣었을 때의 사진이고,
우측사진은 무턱보형물을 빼고 턱끝전진술을 수술한지 3주째의 사진입니다.
현재는 6주차입니다.
[얼굴측면과 정면하관사진]
제 얼굴은 현재 턱끝보형물 제거 후 턱끝전진술만한지 6주차입니다.
측면사진에서 연예인사진은 강동원씨 사진으로, 측면은 저렇게,
정면사진에서 연예인하관사진은 다니엘헤니씨 사진으로, 정면은 저런 느낌을 원한다고 사진을 보여드렸습니다. 특히 저는 인중과 입술아래턱길이의 비율이 1:2정도면 좋겠다고 말씀드렸었습니다.
질문1. 현재 저의 가장 큰 주소는 턱끝의 근육이 뭉친듯한 느낌입니다. 수술한 병원에서는 일단 기다리라고 하는데, 혹여나 부작용 개선의 골든타임을 놓칠까봐, 임상경험이 풍부하신 전문가이신 설원장님께 여쭙습니다. 설원장님께서 어떤 말씀을 하셔도 전 그 병원에 그 내용에 기반하여 아는 척하지도, 설원장님은 이러셨다식의 얘기를 절대 하지 않겠습니다.
정면사진과 측면사진에서, 턱에서 약간 패인부분 바로 아래에서부터 빨간동그라미 친 부분까지
뭔가 턱끝근육이 뭉친듯한 느낌을 줍니다.
그리고 그 입안쪽으로도 뭔가 뭉친느낌과 아랫니4개가 조이는 듯한 느낌이 납니다.
이건 일단 인내심을가지고 1년까지 기다려봐야하는 건가요? 아니면, 적절한 치료가 필요할까요?
[[집도한 원장님께서는 현재 병원에 안계시는데, 2주차검진 때 하셨던 말씀은.
1. 무턱보형물을 빼고, 아래턱을 전진했다.
2. 턱끝근육을 제대로 봉합하지않은 전형적인증상(아랫입술이 처져서 아랫니가 많이보임)이 보인다.
다시 안처지게 위로 잘 끌어올렸다. ]]
이 외에 사각턱절골,피질골절골 등등 그 어떠한 턱에 대한 수술도 받지 않았습니다.
질문2. 제가 수술 한달 차부터는 부끄럽지만, 여자친구와 관계를 나눌 시에, 오럴섹스를 하게되면서
여자의 아랫부분을 애무를 해주게 되었는데, 아무래도 그러다보면, 턱을 벌리고 있게되는데,
이게 술후결과에 문제를 끼쳤고, 앞으로도 끼칠까요? 수술한 병원에서는 관계없다는데 이 관계없다라는 얘기를 상담실장님이 해주셨고, 원장님은 병원에 안계신다고 보지도 못했습니다.. 정확히는 외국으로 세미나를 가셨다고 하더라구요. 다른 안면윤곽원장님도 못뵈었습니다..ㅠ
그렇게 걱정되면 참지!라고 따끔하게 혼내실 수도 있지만.. 이미 한달차부터는 해버렸습니다.
혹여나 이 점이 술후결과에 문제를 초래할 수 있으면 앞으로 한동안 안해야겠지요..

질문3. 재수술을 하고 싶은 마음이 물론 턱끝뭉침도 있지만, 정면효과에 대해서도 많이 개선이 안된듯하여 여쭤봅니다. 솔직히 측면은 강동원(첨부한 사진)의 하관느낌이나는 것 같기도 합니다.
그런데, 정면에서의 하관이 아직도 뭔가 첨부한 연예인사진(다니엘헤니 분)과는 괴리감이 있는듯하여 여쭤봅니다..
원장님이 보시기엔 어떠신가요?
3번질문 바로위에 추가한 사진은 제가 4주차때 찍었던 사진입니다.
보시다시피, 저는 중안면부가 꽤 긴편입니다. 중안면부가 긴긴얼굴이긴하지만 저는 턱이 짧아지게되면
빈곤해보일 것이라 생각하였습니다. 그래서 턱끝을 줄이면서 빼는것에 동의하지 않았지만,
상담을 다닌 모든 병원에서는 얼굴이 길기 때문에 턱끝을 줄이면서 빼야한다고 하시더군요.
제가 다니엘헤니의 저 사진을 보여주며 저런 하관을 원한다해도 전문의분들께서는 탐탁치 않아하셨습니다. 얼굴비율이 가로가 짧고 세로가 긴데, 하관을 줄이면서 빼지않으면 얼굴이 너무 길어질 것이라면서요.
그나마 집도해 준 병원이 최대한 맞춰주겠다 라고 하셨지만, 수술당일에는 집도시에 얼굴이 길어져 이상하다 생각되면 조금 줄이면서 뺄 수 있다 하셨고, 이미 돈까지 다 낸 입장에서 뭐 별수 없이 그냥 잘해주시리라 믿는 수밖에 없었습니다. 수술을 했고, 현재 뭔가 모르게 다니엘헤니씨같이 코아래가 귀족적인 느낌이 아니라 빈곤해보이는 느낌인 것 같다는 생각이 지배적으로 듭니다.
수술한 병원의 상담실장님께서는, 실제 자를 들고서, 위에 제가 첨부한 다니엘헤니의 사진 인중길이와 입술아래길이를 재보시면서 1:2(인중길이를 1cm로 설정)라하시고, 저는 인중길이와 입술아래의 길이가 1:2.1정도라며
제가 더 아래턱의 길이가 길다하시면서 앞턱수술로 할 수 있는부분은 다했지만, 아래턱뼈 자체의 볼륨이작고 입술의 돌출때문에 다니엘헤니같은 느낌이 나지 않는다면서, 입술성형은 부자연스러울 수 있으니 생각하지말고, 턱끝근육이 풀릴 것으로 예상되는 6개월 이후에 지방이식을 추가적으로 조금 해야될 것 같다. 턱끝을 재수술해도 지금과 크게 달라질 점이 없을 것이라며 재수술을 한다해도 제 요구에 맞추느라 정면에서의 턱길이를 1mm에서 2mm늘릴 것인데 그정도는 다시 뼈수술로 고생하기보다는 지방이식으로 해결하자.고 하십니다.
저도 뭐 그냥 일개 경제학과 대학생이라 의료지식이 상담실장님보다 떨어지겠지만, 그래도 대가이신 설원장님의 고견을 듣고 싶습니다.. 만약 수술이 제가 원하는 방향과는 동떨어진 방향으로 된 것이면,
지방이식같은 반복적인 치료?착시적인 치료?보다는 설원장님께 근본적인 뼈를 해결하고 싶습니다.
원장님께서 보시기엔 어떠신가요? 6개월 이후에 지방이식을 하는게 나을까요? 아니면 앞턱전진술을 재수술하는 것이 나을까요?
P.S. 이렇게 길게 적으니, 수술한 병원에서 진상부리고서 온라인으로 상담받는 분들처럼 보일까봐.. 노파심에 말씀드립니다만, 수술한 병원에 경과차방문으로 2주차와 4주차때 한번씩, 두번갔고, 2주차때만 집도하신 전문의분을 뵈었고, 4주차때는 상담실장님만 뵈었으며, 큰소리내거나 진상짓을 한 적은 정말 단연코 없습니다.. 4주차때 딱 한번, 다른 원장님이라도 뵙고싶다고했다가 예민한 환자로 취급을 한 것이 억울해서.. 설원장님께서도 혹시 저를 그렇게 생각하실까.. 이렇게 소심한 변호를 해봅니다..
부디 아들뻘인 대학생에게 아들친구라 생각해주시어 조언을 주세요..
이전페이지 | 1 | 2 | 3 | 4 | 5 | 6 | 7 | 8 | 9 | 10 | 다음페이지 |
TEL 02-515-0369 / FAX 02-515-0368 / E-MAIL seoljyps@naver.com
주소 [06030] 서울특별시 강남구 논현로 159길 10 신사빌딩 4층
Copyright © SEOLJAEYOON PLASTIC SURGERY. All Rights Reserved.
주소 [06030] 서울특별시 강남구 논현로 159길 10 신사빌딩 4층
TEL 02-515-0369
FAX 02-515-0368
E-MAIL seoljyps@naver.com
Copyright © SEOLJAEYOON PLASTIC SURGERY. All Rights Reserved.








.jpg)

댓글 (1)
설재윤성형외과 www.seoljaeyoon.co.kr
상담 및 예약문의 : 02-515-0369 / 02-3442-7788
감사합니다.