돌출입 수술전,후 - 치아상태 4탄
돌출입수술후 발치 치아 와이어 고정상태 - 와이어 제거전
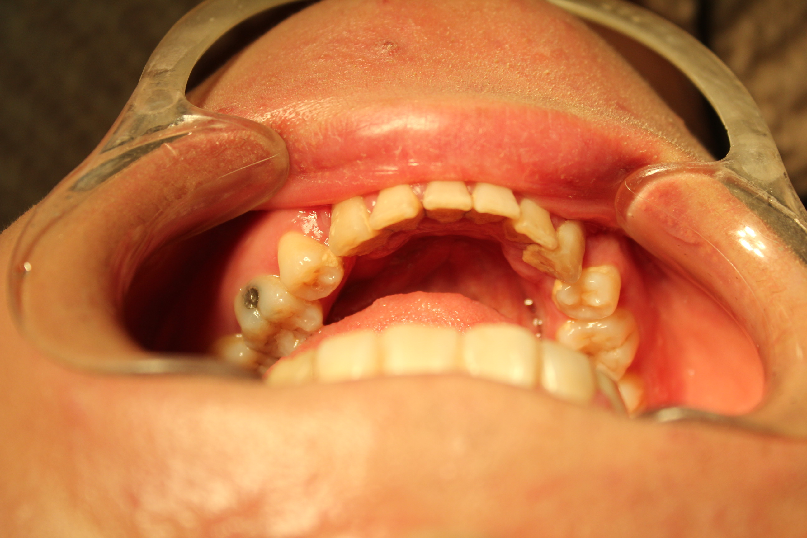
돌출입 수술후 치아 고정 와이어 제거 후 (5개월째) - 상악치아상태
돌출입 수술후 치아 교정 와이어 제거후 (5개월째) - 하악치아상태
돌출입 수술후에 바로 치아교정 장치 를 달지 않고도
수술전 교합 웨이퍼 이용한 올바른 돌출입 수술에서는 발치 부위 와이어 고정으로도 올바른 치열을
얻을수 있다.
다만, 악궁은 좁아지기 때문에 드물게 치열이 벌어지는 현상이 올때는 교정이 필요합니다.
이전페이지 | 1 | 2 | 3 | 4 | 다음페이지 |
상호명 : 설재윤성형외과 / 사업자등록번호 : 594-10-00386 / 대표자 : 설재윤
TEL 02-515-0369 / FAX 02-515-0368 / E-MAIL seoljyps@naver.com
주소 [06030] 서울특별시 강남구 논현로 159길 10 신사빌딩 4층
Copyright © SEOLJAEYOON PLASTIC SURGERY. All Rights Reserved.
TEL 02-515-0369 / FAX 02-515-0368 / E-MAIL seoljyps@naver.com
주소 [06030] 서울특별시 강남구 논현로 159길 10 신사빌딩 4층
Copyright © SEOLJAEYOON PLASTIC SURGERY. All Rights Reserved.
상호명 : 설재윤성형외과 / 대표자 : 설재윤
주소 [06030] 서울특별시 강남구 논현로 159길 10 신사빌딩 4층
TEL 02-515-0369
FAX 02-515-0368
E-MAIL seoljyps@naver.com
Copyright © SEOLJAEYOON PLASTIC SURGERY. All Rights Reserved.
주소 [06030] 서울특별시 강남구 논현로 159길 10 신사빌딩 4층
TEL 02-515-0369
FAX 02-515-0368
E-MAIL seoljyps@naver.com
Copyright © SEOLJAEYOON PLASTIC SURGERY. All Rights Reserved.








.jpg)

댓글 (0)