돌출입 수술전,후 - 엑스레이 3탄
- 집도의사 - 설재윤
- 2013-10-27 (00:00)
- 4094 hit
- 좋아요 ( 0 )
-
수술전 - 파노라마 엑스레이
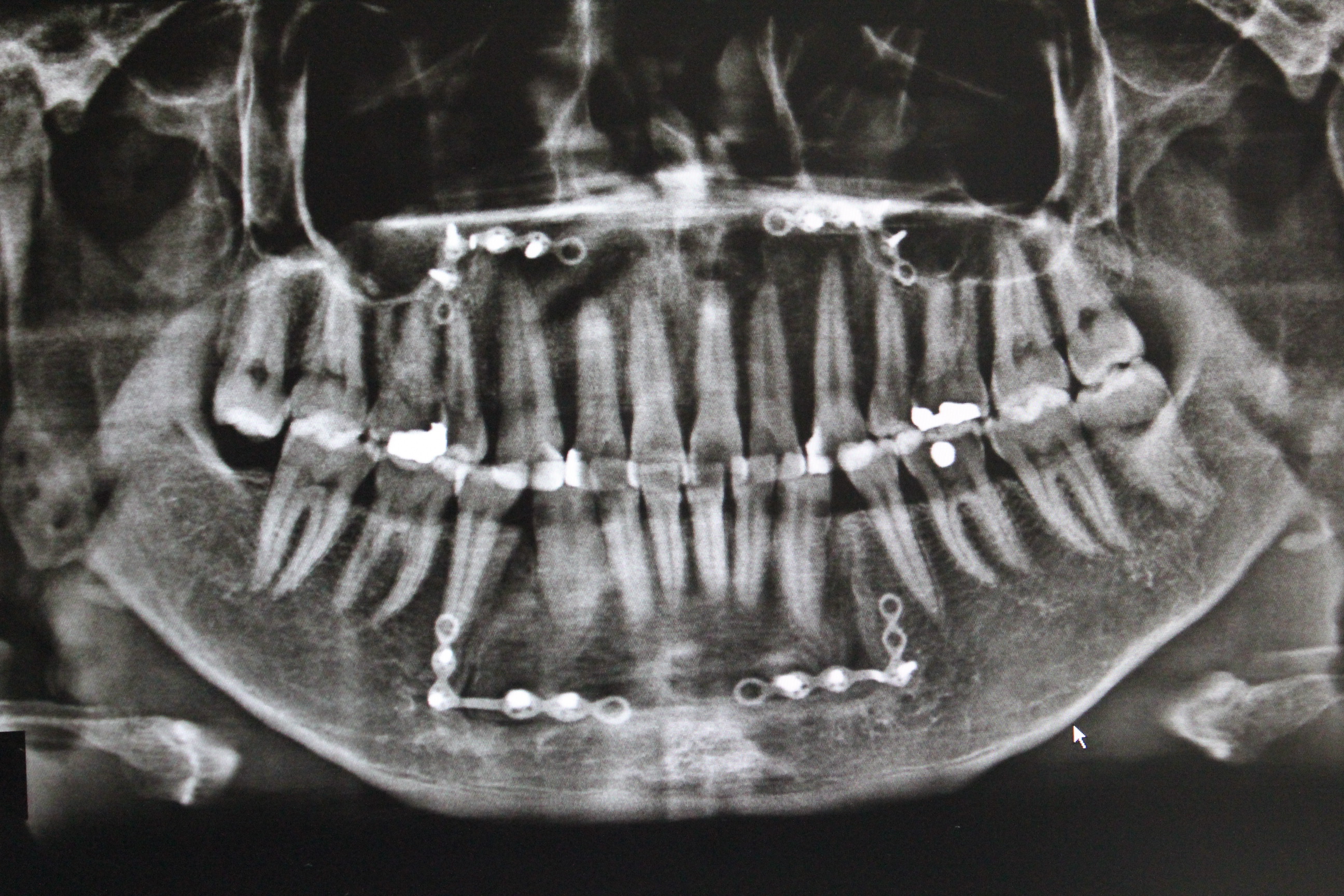
수술후 - 파노라마 엑스레이
수술전 - 측면 엑스레이
수술후 - 측면 엑스레이
이전페이지 | 1 | 2 | 3 | 4 | 다음페이지 |
상호명 : 설재윤성형외과 / 사업자등록번호 : 594-10-00386 / 대표자 : 설재윤
TEL 02-515-0369 / FAX 02-515-0368 / E-MAIL seoljyps@naver.com
주소 [06030] 서울특별시 강남구 논현로 159길 10 신사빌딩 4층
Copyright © SEOLJAEYOON PLASTIC SURGERY. All Rights Reserved.
TEL 02-515-0369 / FAX 02-515-0368 / E-MAIL seoljyps@naver.com
주소 [06030] 서울특별시 강남구 논현로 159길 10 신사빌딩 4층
Copyright © SEOLJAEYOON PLASTIC SURGERY. All Rights Reserved.
상호명 : 설재윤성형외과 / 대표자 : 설재윤
주소 [06030] 서울특별시 강남구 논현로 159길 10 신사빌딩 4층
TEL 02-515-0369
FAX 02-515-0368
E-MAIL seoljyps@naver.com
Copyright © SEOLJAEYOON PLASTIC SURGERY. All Rights Reserved.
주소 [06030] 서울특별시 강남구 논현로 159길 10 신사빌딩 4층
TEL 02-515-0369
FAX 02-515-0368
E-MAIL seoljyps@naver.com
Copyright © SEOLJAEYOON PLASTIC SURGERY. All Rights Reserved.








.jpg)

댓글 (0)